ในปัจจุบันความสามารถของ AI มีส่วนช่วยในการตรวจวิเคราะห์ทางการแพทย์เป็นอย่างมาก และในตอนนี้ระบบ AI ก็พัฒนาไปถึงขั้นที่สามารถช่วยแพทย์ระบุถึงตำแหน่งที่เกิดอาการเลือดออกภายในสมองของผู้ป่วยได้แล้ว
สภาวะเลือดออกในสมอง เป็นอาการที่ท้าทายการตรวจวินิจฉัยของแพทย์เป็นอย่างมาก เพราะหากเราตรวจเจอมันช้าไป หรือแม้แต่พลาดจุดเล็ก ๆ ไปเพียงแค่จุดเดียวนั่นอาจหมายถึงชีวิตของผู้ป่วยที่กำลังก้าวเข้าสู่ความตายอย่างช้า ๆ แต่ในตอนนี้เทคโนโลยีกำลังก้าวเข้ามาช่วยแก้ปัญหาดังกล่าวแล้ว
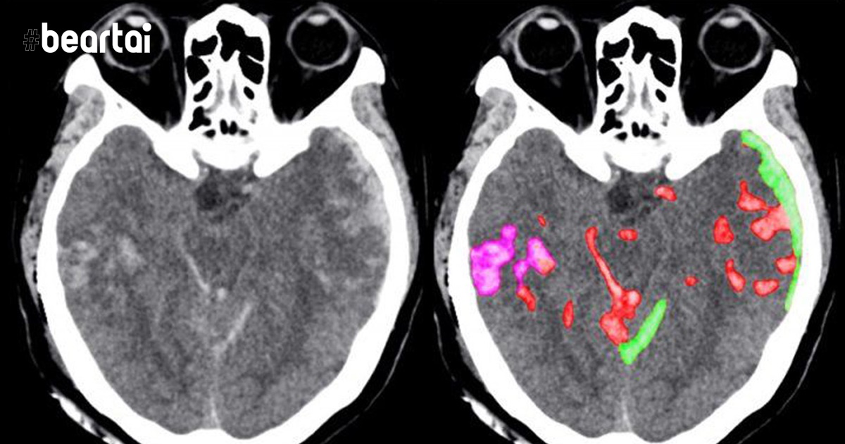
นักวิจัยจาก UC Berkeley และ UCSF ได้ออกแบบระบบที่สามารถตรวจหาอาการเลือดออกในสมองได้แม่นยำไม่แพ้กับนักรังสีวิทยา จากการทดสอบมันทำงานได้ดีไม่แพ้นักรังสีวิทยา 2 ใน 4 คนเลยทีเดียว กระบวนการทำงานของ AI อาศัยการวิเคราะห์ CT Scans กว่า 4,396 ครั้งเพื่อเรียนรู้ ถึงจะเป็นจำนวนที่น้อย แต่นักวิจัยจาก UCSF กล่าวว่า ความผิดปกติที่มองเห็นอยู่ในระดับ Pixel การเรียนรู้ดังกล่าวจะทำให้เกิดความผิดพลาดน้อยมาก
แต่ก็เหมือนกับระบบ AI อื่น ๆ มันไม่สามาถทำงานแทนที่แพทย์ได้ 100% เพียงแต่ว่าการนำเทคโนโลยีเข้ามาช่วย จะช่วยประหยัดเวลาในการตรวจหา และวินิจฉัยของแพทย์ในกรณีฉุกเฉินมากยิ่งขึ้น ในขณะที่ระบบนี้ยังคงถูกพัฒนาต่อไปแต่เชื่อว่าในอนาคตมันจะถูกนำเข้ามาประยุกต์ใช้กับวงการแพทย์ เพื่อช่วยย่นระยะเวลาในการคัดกรองผู้ป่วยได้มากขึ้น
อ้างอิง Engadget
พิสูจน์อักษร : สุชยา เกษจำรัส













